ΑΝΑΣΚΟΠΗΣΗ (REVIEW)                                                           Βιβλιογραφική αναφορά (Citation)

IDEA Medical Newsletter 2010:2,1.  Available at https://www.idea-lab.gr/newslet20100201.htm

 

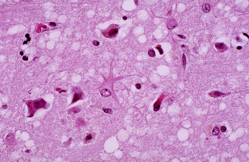
Ιστολογική εικόνα σπογγώδους εγκεφαλοπάθειας (http://www.neuropathologyweb.org)

 

Μετάδοση και εργαστηριακή διάγνωση νοσημάτων από prion

Ουρανία Σπυράκου

 

ΣΥΝΤΟΜΟΓΡΑΦΙΕΣ

PrPC = Φυσιολογική πρωτεΐνη prion

PrPSC = Παθολογική πρωτεΐνη prion.  Αναδιπλωμένη πρωτεΐνη prion.  Συνώνυμο: PrPTTSE

Περίληψη

Το τελευταίο θέμα στη σειρά των ανασκοπήσεων για τα νοσήματα από prion που δημοσιεύθηκαν στο IDEA Medical Newsletter (2010) εστιάζει στις ερευνητικές προσπάθειες κατανόησης των μηχανισμών μετάδοσης των prion.  Συζητείται επίσης η σύγχρονη εργαστηριακή διάγνωση αυτών των νοσημάτων και η προσπάθεια ανάπτυξης τεχνολογιών που θα καταλήξουν στη δημιουργία νέων ευαίσθητων και εύκολα εφαρμόσιμων διαγνωστικών μεθόδων.

Εισαγωγή

Παρά το γεγονός ότι έχει γίνει αξιοσημείωτη πρόοδος στην κατανόηση των νόσων από prion, εν τούτοις απαιτείται η έρευνα να εντατικοποιηθεί λόγω της σημασίας που έχουν τα νοσήματα αυτά για την υγεία και την οικονομία.  Ιδιαίτερα πρέπει να γίνουν περισσότερο κατανοητοί οι τρόποι μετάδοσης των prion από είδος σε είδος και να αναπτυχθούν εύκολες και ευαίσθητες διαγνωστικές τεχνικές για την έγκαιρη ανίχνευση των πασχόντων ζώων ή ανθρώπων.

Μετάδοση των νοσημάτων από prion

Η επιδημία σπογγώδους εγκεφαλοπάθειας των βοοειδών (BSE) στη Βρετανία τη δεκαετία του 80 προήλθε από αγελάδες οι οποίες διατρέφονταν με ζωοτροφές (κρεατάλευρα), που περιείχαν υλικά από πρόβατα πάσχοντα από scrapie (Wilesmith et al 1991).  Κατά τη διάρκεια αυτής της επιδημίας και μέχρι σήμερα περισσότερα από 200 περιστατικά παραλλαγμένης νόσου Creutzfeldt-Jakob (vCJD) διαγνώσθηκαν σε ανθρώπους που είχαν πιθανότατα καταναλώσει μολυσμένο με prion βόειο κρέας (Coulhart και Cashman 2001, Agamanolis 2009).  Οι νέες έρευνες που διεξάγονται εστιάζουν στην κατανόηση του τρόπου με τον οποίο τα prion παρακάμπτουν το βιολογικό «φραγμό» που υπάρχει ανάμεσα στα είδη του ζωικού βασιλείου.  Επίσης ερευνούν εάν μπορούν να μεταδοθούν σε ανθρώπους νοσήματα από prion άλλων ζώων πλην των αγελάδων.

Το prion που προκαλεί BSE φαίνεται ότι μεταδίδεται σε μικρή συχνότητα από τις αγελάδες στον άνθρωπο και ορισμένοι ενδιαφέρθηκαν να μάθουν αν μεταδίδεται κατά τον ίδιο τρόπο και το prion που προκαλεί χρόνια καχεξία στα ελάφια (chronic wasting disease, CWD).  Για το σκοπό διεξήχθησαν 2 επιδημιολογικές μελέτες σε ασθενείς από το Wisconsin και το Colorado (ΗΠΑ), που έπασχαν από νόσο Creutzfeldt-Jakob (CJD) και είχαν καταναλώσει κρέας ελαφιού.  Από τις μελέτες αυτές δεν διαπιστώθηκε συσχέτιση μεταξύ της CWD στα ελάφια και της ανθρώπινης CJD (Arduengo 2003, Σπυράκου 2010).

Σχέση του γονοτύπου με την ευαισθησία

Οι ανθρώπινες νόσοι από prion CJD και vCJD αντιπροσωπεύουν διαφορετικά μοντέλα παθολογικής βλάβης.  Έτσι η CJD εμφανίζεται σποραδικά (sCJD) ή από ιατρογενή μόλυνση (iCJD) , ενώ η vCJD πιστεύεται πως οφείλεται σε μετάδοση σε άνθρωπο του prion που προκαλεί BSE στα βοοειδή. (Σπυράκου 2010)

Έχει διαπιστωθεί πως υπάρχει ευαισθησία ατόμων με καθορισμένη γονοτυπική σύνθεση σ’ αυτά τα νοσήματα.  Συγκεκριμένα τα περισσότερα γνωστά περιστατικά sCJD και iCJD καθώς και το σύνολο σχεδόν των περιπτώσεων vCJD είναι μεθειονίνη ομοζυγώτες στη θέση 129 του γονιδίου της PrPC (129ΜΜ).  Το γονίδιο αυτό στη θέση 129 κωδικοποιεί είτε μεθειονίνη είτε βαλίνη, δηλ. υπάρχουν οι εξής παραλλαγές 129MV, 129VV και 129ΜΜ (Agamanolis 2009).  Η επιστημονική ομάδα του Collinge στο British Medical Research Council παρήγαγε ένα είδος ποντικιού που είναι 129ΜΜ ομοζυγώτης.  Διαπιστώθηκε ότι αυτά τα ποντίκια όταν εκτεθούν σε prion BSE εμφανίζουν νόσο παρόμοια με τη vCJD του ανθρώπου (Arduengo 2003).

Ενδείξεις για τη σχέση γονότυπου και ευαισθησίας σε νοσήματα από prion έχουμε και από επιδημιολογικές γενετικές μελέτες.  Το kuru είναι ένα είδος σπογγώδους εγκεφαλοπάθειας του ανθρώπου και έχει περιγραφεί πως προσβάλλει πρωτόγονες φυλές που μετέχουν σε κανιβαλικές τελετές, όπως η φυλή Fore των Παπούα στη Νέα Γουϊνέα (Σπυράκου 2010).  Σε μια μελέτη γυναικών Fore άνω των 50 ετών διαπιστώθηκε εκλεκτική επικράτηση των ετεροζυγωτών μεθειονίνη/βαλίνη στη θέση 129 (129ΜV).  Αυτές οι γυναίκες είχαν λάβει μέρος σε κανιβαλικές θρησκευτικές τελετές, πριν οι τελετές αυτού του είδους απαγορευθούν στη δεκαετία του 50.  Αντίθετα η μελέτη νεώτερου πληθυσμού που δεν είχε μετάσχει σε παρόμοιες τελετές δεν έδειξε επικράτηση κάποιου γονοτύπου. (Mead 2003).  Μπορεί επομένως να εξαχθεί το συμπέρασμα ότι ενδεχόμενα οι ομοζυγώτες 129MM είχαν εκλείψει ως αποτέλεσμα της αυξημένης πιθανότητας νόσησης από kuru.

Τα ευρήματα από τις παραπάνω έρευνες σημαίνουν ότι ο κίνδυνος εμφάνισης νόσου από prion καθορίζεται και από το γονότυπο του συγκεκριμένου ατόμου και πιθανότατα τα νοσήματα από prion υπήρξαν σημαντική αιτία θνητότητας κατά τη διάρκεια της εξέλιξης του ανθρώπου.

Ειδικές διαγνωστικές μέθοδοι

Η ανάπτυξη κατάλληλων και αναίμακτων διαγνωστικών μεθόδων αποτελεί ένα ακόμα σημαντικό θέμα έρευνας των νοσημάτων από prion.

Στις αγελάδες η νόσος διαγιγνώσκεται με μεταθανάτια εξέταση του εγκεφάλου.  Στον άνθρωπο έχουν χρησιμοποιηθεί κυρίως μέθοδοι βιοψίας εγκεφάλου που εμφανίζουν τη χαρακτηριστική σπογγώδη εκφύλιση (φωτογραφία τίτλου).  Η παθολογική πρωτεΐνη PrPSC ανιχνεύεται σε εκχυλίσματα εγκεφαλικού ιστού με ELISA και σε ιστολογικές τομές με ανοσοϊστοχημεία (Agamanolis 2009).

Η μαγνητική τομογραφία (MRI) είναι ενδεικτική ιδιαίτερα σε περιπτώσεις όπου άλλα νευρολογικά νοσήματα έχουν αποκλειστεί (Shiga et al 2004).

Η εξέταση με μοριακές τεχνικές του πολυμορφισμού του κωδικονίου 129 σε αίμα ή άλλους ιστούς μπορεί να είναι χρήσιμη όσον αφορά στην ευαισθησία του ατόμου για νοσήματα από prion (Agamanolis 2009).  Δυστυχώς δεν έχουν ακόμα αναπτυχθεί ανοσολογικές ή άλλες τεχνικές κατάλληλες για να ανιχνεύσουν τις prion πρωτεΐνες σε σωματικά υγρά όπως το αίμα ή τα ούρα (Thomas 2010).

Η πλέον χρήσιμη εξέταση στο Ε.Ν.Υ. είναι η ανίχνευση της πρωτεΐνης 14-3-3.  Αυτή η πρωτεΐνη μοριακού βάρους 30 kD παίζει ρόλο στον πολλαπλασιασμό και τη διαφοροποίηση των κυττάρων και ρυθμίζει τη σύνθεση νευροδιαβιβαστών.  Η τιμή της στο Ε.Ν.Υ. είναι ιδιαίτερα αυξημένη σε πάσχοντες από σπογγώδεις εγκεφαλοπάθειες (νοσήματα από prion).  Δυστυχώς η ειδικότητά της είναι μικρή, αφού βρίσκεται αυξημένη και σε εγκεφαλίτιδες, εγκεφαλικά έμφρακτα και άλλες παθολογικές καταστάσεις (Agamanolis 2009).

Η πρωτείνη Τ (ελληνικό ταυ) του Ε.Ν.Υ. φαίνεται ότι είναι πιο ειδική από τη 14-3-3.  Ο συνδυασμός της ανίχνευσης πρωτεΐνης 14-3-3 και πρωτεΐνης Τ στο Ε.Ν.Υ. έχει υψηλή ευαισθησία (86%) και ειδικότητα (90%) για τη διάγνωση vCJD (Thomas 2010).

Στη σύγχρονη διαγνωστική η τεχνική αλυσιδωτής αντίδρασης πολυμεράσης (PCR) έχει εκτεταμένα χρησιμοποιηθεί για την ενίσχυση (αύξηση της ποσότητας) του DNA που υπάρχει σε μικρές ποσότητες σε κάποιο δείγμα.  Η ενίσχυση του αριθμού των prion ενός δείγματος διευκολύνει την ανίχνευσή τους και αυξάνει την ευαισθησία των διαγνωστικών τεχνικών.  Οι Saborio et al (2001) ανάπτυξαν μια κυκλική in vitro μέθοδο ενίσχυσης των prion που μεθοδολογικά μοιάζει με την PCR.  Η τροποποίηση σ’ αυτή τη μέθοδο, που την ονόμασαν PMCA (protein misfolding cyclic amplification - κυκλική ενίσχυση της πρωτεϊνικής αναδίπλωσης), συνίσταται στο ότι αντί να χρησιμοποιήσουν ένα ένζυμο που καταλύει συγκεκριμένη αντίδραση χρησιμοποίησαν περίσσεια φυσιολογικής πρωτεΐνης PrPC.  Η παρουσία έστω και ελάχιστης ποσότητας παθολογικής PrPSC σε ένα δείγμα προκαλεί αναδίπλωση της φυσιολογικής πρωτεΐνης.  Η διαδικασία περιλαμβάνει πολλαπλούς κύκλους επώασης της PrPSC και επίδραση με υπερήχους.  Στη μελέτη αυτή μετά 5 κύκλους επώασης επιτεύχθηκε μετατροπή κατά 97% της PrPC  σε PrPSC.  Θεωρητικά με τη μέθοδο αυτή θα μπορεί να ανιχνευθεί παθολογικό prion στο αίμα και σε άλλα βιολογικά υγρά.

Μια άλλη τεχνική που προσδοκάται ότι θα επιτρέψει την ανίχνευση prion στο περιφερικό αίμα είναι η μεθοδολογία των RNA απταμερών.  Τα απταμερή (aptamers) είναι μονόκλωνα ολιγονουκλεοτίδια από DNA ή RNA, που προσλαμβάνουν μια καθορισμένη συμβατική δομή και ως αποτέλεσμα συνδέονται ειδικά με ορισμένες πρωτεΐνες ή μικρομοριακές ενώσεις.  Η παραγωγή αντισωμάτων που μπορούν να διακρίνουν την PrPC από την PrPSC είναι δύσκολη και ενδεχομένως τα απταμερή είναι τα πλέον κατάλληλα γι αυτό το σκοπό.  (Bennion και Daggett 2002).  Παλαιότερα οι Weiss et al (1997) είχαν προσπαθήσει να απομονώσουν RNA απταμερή που αναγνωρίζουν ειδικά τις PrPC.  Ένα κατάλληλο απταμερές θα μπορούσε να ξεχωρίσει την PrPSC στο αίμα ή σε άλλο δείγμα και ενδεχόμενα να «καθαρίσει» δείγματα μολυσμένα με PrPSC.

 

Summary

Transmission and laboratory diagnosis of prion diseases. Urania Spyrakou

The final subject in our review series on prion diseases published by IDEA Medical Newsletter (2010) focuses on research efforts to understand mechanisms of prion transmission.  We also discuss current laboratory diagnosis of these diseases and efforts to develop technologies that will yield new sensitive and easily adaptable diagnostic tests.

 

Βιβλιογραφία

Agamanolis D. Prion diseases (Transmissible Spongiform Encephalopathies). 2009. Available online at http://www.neuropathologyweb.org/chapter5/chapter5ePrions.html (Accessed 12/12/2010)

Arduengo M. Prions: The unfolding story of a good protein gone bad. 2003. Promega Corporation, Madison, WI (Leaflet).

Bennion BJ, Daggett V. Protein conformation and diagnostic tests: The prion protein. Clinical Chemistry 2002, 48: 2105–2114 (Full text)

Coulhart MB, Cashman NR. Variant Creutzfeldt-Jakob disease: A summary of current scientific knowledge in relation to public health. Canadian Medical Association Journal 2001, 165: 51–58 (Full text)

Mead S, Stumpf MP, Whitfield J et al. Balancing selection at the prion protein gene consistent with prehistoric kuru-like epidemics. Science 2003, 300: 640-643 (Abstract)

Saborio GP, Permanne B, Soto C. Sensitive detection of pathological prion protein by cyclic amplification of protein misfolding. Nature 2001,411:810–813 (Abstract)

Shiga Y, Miyazawa K, Sato S, et al. Diffusion-weghted MRI abnormalities as an early diagnostic marker for Creutzffeldt-Jakob disease. Neurology 2004;63:443-449 (Abstract).

Σπυράκου Ο. Σύντομη ιστορική ανασκόπηση νοσημάτων από prion. IDEA Medical Newsletter 2010:1,1. Available at http://www.idea-lab.gr/newslet20100101.htm (Accessed 12/12/2010)

Thomas FP Variant Creutzfeldt-Jakob Disease and Bovine Spongiform Encephalopathy: Differential Diagnoses & Workup. Emedicine 2010. Available at http://emedicine.medscape.com/article/1169688-diagnosis (Accessed: 12/12/2010)

Weiss S, Proske D, Neumann M et al. RNA aptamers specifically interact with the prion protein PrP. Journal of Virology 1997, 71: 8790–8797 (Full text)

Wilesmith JW, Ryan JB, Atkinson MJ. Bovine spongiform encephalopathy: Epidemiological studies of the origin. Veterinary Record 1991, 218: 199–203.

 

Επιστροφή στην πρώτη σελίδα του IDEA Medical Newsletter

Προειδοποίηση

Το περιεχόμενο του IDEA MEDICAL NEWSLETTER είναι επιστημονικό και απευθύνεται σε γιατρούς και λοιπούς επαγγελματίες υγείας.  Σε καμιά περίπτωση δεν πρέπει να χρησιμοποιηθεί από πρόσωπα που δεν έχουν τα προσόντα νόμιμης άσκησης του ιατρικού επαγγέλματος για οποιαδήποτε θεραπευτική ή διαγνωστική εφαρμογή.