|
ΑΝΑΣΚΟΠΗΣΗ (REVIEW) Βιβλιογραφική
αναφορά (Citation)
|
|
IDEA Medical Newsletter 2010:1,2. Available at https://www.idea-lab.gr/newslet20100102.htm
|

EIKONA 1. Σχηματική απεικόνιση της τρισδιάστατης
δομής του prion των
βοοειδών (López
Garcia et al 2000. Αναδημοσιεύεται τροποπ. με
άδεια)
Φυσιολογία και παθολογική φυσιολογία της πρωτεΐνης prion
Ουρανία Σπυράκου
Δομή και λειτουργία του ανθρώπινου prion
Η φυσιολογική prion του ανθρώπου
(και των βοοειδών) είναι μια GPI-πρωτεΐνη
της μεμβράνης, που περιέχει περί τα 250 αμινοξέα (GPI-πρωτεΐνη = πρωτεΐνη συνδεδεμένη με
γλυκοζυλ-φωσφατιδυλ-ινοσιτόλη) και ονομάζεται PrPC(κυτταρική prion).
Κωδικοποιείται από το γονίδιο Prn-p
και εκφράζεται ιδιαίτερα στο ΚΝΣ και σε
μικρότερο βαθμό στα ανοσοκύτταρα και τους μύς (Arduengo 2003). Δομικά η φυσιολογική πρωτεΐνη
αποτελείται από τρεις α-έλικες με μια τελική (συνδετική) C-περιοχή (Εικόνα 1).
Η PrPSC (παθολογική
μορφή της κυτταρικής prion)
περιέχει ακριβώς την ίδια σειρά αμινοξέων με τη φυσιολογική PrPC, αλλά η δευτεροταγής και τριτοταγής δομή της
είναι διαφορετική, δηλ. πρόκειται για παθολογικά αναδιπλωμένη πρωτεΐνη με
διαφορετική διάταξη στο χώρο (misfolded). Αυτή η χωροταξική παραλλαγή συνεπάγεται
μεταβολή των φυσικοχημικών ιδιοτήτων του μορίου κι έτσι η παθολογική PrPSC δεν
διαλύεται με απορρυπαντικές ουσίες, είναι μερικώς ανθεκτική στη δράση των
πρωτεολυτικών ενζύμων και πρακτικά δεν επηρεάζεται από τη θερμότητα και την
ακτινοβολία (Arduengo 2003).
Για τη φυσιολογική κυτταρική λειτουργία της πρωτεΐνης prion ελάχιστα γνωρίζουμε, επειδή όμως τέτοιες πρωτεΐνες ανευρίσκονται σε
διάφορα είδη, διαφορετικής βιολογικής εξέλιξης από τους μύκητες μέχρι τον
άνθρωπο, εικάζεται πως πρέπει να έχουν θεμελιώδη ρόλο, η φύση του οποίου όμως
δεν έχει διευκρινισθεί μέχρι σήμερα.
Ποντίκια που δεν έχουν την ικανότητα παραγωγής φυσιολογικής PrPC αναπτύσσονται κανονικά και μάλιστα δεν εμφανίζουν νόσο αν μολυνθούν
με την παθολογική μορφή της πρωτεΐνης (PrPSC) (Weissmann et
al
2002). Όμως σε άλλα ζωικά είδη η PrPC εμφανίζει εκλεκτική τάση σύνδεσης με τη λαμινίνη (laminin) και πιθανότατα παίζει σημαντικό ρόλο στην
μεμβρανική προσκόλληση, τον πολλαπλασιασμό και την επιβίωση των κυττάρων. Ειδικά οι νευρώνες που στερούνται PrPC είναι πολύ πιο ευαίσθητοι στην επίδραση οξειδωτικού stress από τα φυσιολογικά νευρικά κύτταρα.( Martins et al 2002).
Η σύγχρονη άποψη για την
παθολογία των prion δέχεται
πως η παθολογικά αναδιπλωμένη PrPSC λειτουργεί ως μήτρα (template) που κατευθύνει τις φυσιολογικές κυτταρικές
πρωτεΐνες να αποκτήσουν την ανώμαλη, παθολογική χωροταξική της δομή. Αν αυτό κάποτε συμβεί, καταργείται η
φυσιολογική λειτουργία αυτών των πρωτεϊνών που αρχίζουν να σχηματίζουν
συσσωματώματα μέσα στο νευρικό ιστό και τελικά οδηγούν στη σπογγώδη εκφύλιση
(Εικόνες 3 και 4)
Παθολογική φυσιολογία των νοσημάτων από prion
Υπάρχουν
σήμερα πειστικές αποδείξεις πως η παραλλαγμένη νόσος Creutzfeldt-Jacob (vCJD) είναι πράγματι μια νέα
νόσος. Πιστεύεται δηλαδή ότι η vCJD προήλθε από μετάδοση prion από βοοειδή που είχαν νοσήσει από
σπογγώδη εγκεφαλοπάθεια των βοοειδών (ΣΕΒ) λόγω κατανάλωσης ζωοτροφών που
περιείχαν τεμάχια προβάτων που έπασχαν από scrapie (Beisel και Morens 2004,
Σπυράκου 2010).
Σύμφωνα
με την άποψη αυτή οι σπογγώδεις εγκεφαλοπάθειες είναι λοιμώξεις που
προκαλούνται αποκλειστικά και μόνο από πρωτεΐνες, χωρίς την παρουσία
νουκλεϊνικών οξέων (Σπυράκου 2010).
Αυτή η καινοφανής για τη βιολογία άποψη δημιουργεί διάφορα ερωτήματα:
(1)
Πώς είναι
δυνατό μια πρωτεΐνη που εισέρχεται από την πεπτική οδό να φθάσει μέχρι το
προστατευμένο ΚΝΣ, περνώντας μεταξύ των άλλων μέσα από τον περίπλοκο
αιματοεγκεφαλικό φραγμό;
(2)
Με
ποιό τρόπο αυτή η λοιμογόνα πρωτεΐνη αναπαράγει την παθολογική της δομή μέσα
στον οργανισμό του ξενιστή;
(3)
Με
ποιό μηχανισμό η παθολογική πρωτεΐνη κληρονομείται στους απογόνους;
Από μελέτες σε πειραματόζωα υπάρχουν
ορισμένες απαντήσεις στα παραπάνω ερωτήματα, παραμένουν όμως πολλά ακόμα
σημεία αδιευκρίνιστα.
Προσβολή
του νευρικού ιστού
Οι
πρωτεΐνες prion μπορούν να εισέλθουν στο ΚΝΣ ακολουθώντας διάφορους
πιθανούς δρόμους:
Μετά
την κατάποση του μολυσμένου τροφίμου τα prion αθροίζονται στο λεμφικό ιστό του
εντέρου (πλάκες του Peyer) και στο σπλήνα (Εικόνα 2) Επίσης άθροιση prion πρωτεϊνών έχει παρατηρηθεί στα
νευρικά γάγγλια των πλεγμάτων Auerbach και Meissner του εντέρου.
Η
συνάθροιση στα εντερικά γάγγλια παρουσιάζει ιδιαίτερο ενδιαφέρον γιατί
θεωρητικά διευκολύνει τη μετακίνηση των prion κατ’ ευθείαν προς το ΚΝΣ μέσα από
τα νεύρα του συμπαθητικού, που νευρώνουν το έντερο. Αρκετοί συγγραφείς αναφέρουν πως η εισβολή του prion απαιτεί να εκφράζεται στο
συγκεκριμένο ιστό του ξενιστή το PrPC (φυσιολογικό κυτταρικό prion) και αυτό πράγματι συμβαίνει στο
συμπαθητικό νευρικό σύστημα (Glatzel et al 2001).
Υπάρχουν
μελέτες σε πειραματόζωα που δείχνουν ότι οι συμπαθητικοί νευρώνες είναι η
οδός μέσα από την οποία τα παθολογικά prion οδεύουν προς το ΚΝΣ. Σε μια από αυτές βρέθηκε πως στους επίμυς
η μόλυνση της γλώσσας με ένεση παθολογικού prion είχε ως αποτέλεσμα πολύ ταχύτερη
εισβολή στο ΚΝΣ σε σχέση με την κατάποση.
Μάλιστα στην έρευνα αυτή ανιχνεύθηκε PrPSC (παθολογικό prion) στο υπογλώσσιο νεύρο 2 μόλις
ημέρες μετά τη μόλυνση της γλώσσας.
Τα αποτελέσματα της μελέτης δείχνουν ότι το PrPSC μετακινήθηκε προς το ΚΝΣ μέσα από
το υπογλώσσιο νεύρο (Bartz et al 2003).
Η
μοριακή φύση της μετακίνησης των prion δια των νεύρων δεν είναι
γνωστή. Μέχρι σήμερα έχουν βρεθεί
διάφορα μόρια που έχουν την ικανότητα να μεταφέρονται κατά μήκος των
νευραξόνων μέσα από τους μικροσωληνίσκους του κυτταροσκελετού των νευρικών
κυττάρων, φαίνεται όμως ότι τα prion δεν ακολουθούν αυτή τη μεταφορική οδό. Περισσότερο πιθανή φαίνεται η, ωστόσο
αναπόδεικτη ακόμα, υπόθεση ότι η δομή του παθολογικού prion αναπαράγεται με μετατροπή του
φυσιολογικού PrPC σε PrPSC (Εικόνα 3) και αυτή η μετατροπή
μεταδίδεται ως είδος ντόμινο κατά μήκος των νευρώνων (Glatzel
και Aguzzi 2000).
Προσβολή του λεμφικού ιστού
Όπως
ήδη αναφέρθηκε, τα PrPSC εκτός από τα νευρικά γάγγλια του
εντέρου αθροίζονται στο σπλήνα και στις παϋέρειες πλάκες του λεπτού εντέρου.
Υπεύθυνα
για τη μεταφορά των PrPSC στο λεμφικό ιστό είναι τα
μεταναστευτικά δενδριτικά κύτταρα.
Αυτά είναι κύτταρα που λειτουργικά κατατάσσονται στο ανοσοποιητικό
σύστημα και αναφέρονται ως αντιγονοπαρουσιαστικά κύτταρα. Μέσα στο σπλήνα και συγκεκριμένα στα
βλαστικά του κέντρα τα παθολογικά PrPSC αντιγράφονται και αποικίζουν τα
θυλακιώδη δενδριτικά κύτταρα (FDC), που δεν προέρχονται από τον αιμοποιητικό ιστό
και φυσιολογικά εκφράζουν το PrPC.
Η αντιγραφή του παθολογικού prion μέσα στα θυλακιώδη δενδριτικά
κύτταρα εξαρτάται από την παρουσία λεμφοτοξίνης Β και Β λεμφοκυττάρων,
μολονότι συνήθως το PrPC δεν εκφράζεται στα Β λεμφοκύτταρα (Arduengo 2003).
Εκτός
από τη μεταφορά PrPSC στα θυλακιώδη δενδριτικά κύτταρα του σπλήνα
υπάρχουν σοβαρές ενδείξεις ότι τα μεταναστευτικά δενδριτικά κύτταρα μπορούν
να μεταφέρουν παθολογικά prion στα νεύρα του δέρματος ή του ήπατος ή και απ’
ευθείας στο ΚΝΣ. (Εικόνα 2).

EIKONA 2. Οδοί εισόδου των παθολογικών prion στο
ΚΝΣ.
Διφασική εισβολή στο ΚΝΣ
Ένα
θεωρητικό μοντέλο προτείνει πως η εισβολή των παθολογικών πρωτεϊνών στο ΚΝΣ
γίνεται σε 2 φάσεις: Αρχικά τα μεταναστευτικά δενδριτικά κύτταρα μεταφέρουν
τα prion στα
λεμφικά όργανα, όπως ο σπλήνας, όπου και αντιγράφονται. Στη συνέχεια τα prion εισέρχονται στο ΚΝΣ μέσα από τα
περιφερικά συμπαθητικά νεύρα που νευρώνουν τα λεμφικά όργανα (Arduengo 2003).
Υπάρχουν πολλά στοιχεία που επιβεβαιώνουν αυτό το μοντέλο, όπως και πολλά
αναπάντητα ερωτήματα.
Αντιγραφή των παθολογικών prion
Δύο
κύριοι μηχανισμοί έχουν προταθεί για να περιγράψουν τη μετατροπή του
(φυσιολογικού) PrPC σε (παθολογικό) PrPSC (Nicotera 2001).
Σύμφωνα
με το πρώτο μοντέλο, της «αναδίπλωσης», το PrPSC που εισήλθε στον οργανισμό χρησιμεύει
ως μήτρα για την αναδίπλωση του PrPC και το σχηματισμό της νέας
ανώμαλης, ανθεκτικής στις πρωτεάσες β-μορφής (Εικόνα 3). Η πιθανότητα του αυτόματου τυχαίου
ανασυνδυασμού του μορίου ώστε να λάβει τη μορφή του PrPSC είναι ασήμαντη κι έτσι πρέπει να
θεωρηθεί ότι μόνο η παρουσία της παθολογικά αναδιπλωμένης πρωτεΐνης μπορεί να
επάγει αυτή τη μετατροπή (Aguzzi et al 2001)

ΕΙΚΟΝΑ 3. Μοντέλο
αντιγραφής του παθολογικού prion
σε μήτρα φυσιολογικού.
Το
δεύτερο μοντέλο είναι η θεωρία του σχηματισμού «σπόρων» ή «πυρήνων». Σύμφωνα με την άποψη αυτή υπάρχει κάποιας
μορφής ισορροπία ανάμεσα στο PrPC και στο PrPSC.
Αν συγκεντρωθούν αρκετά μόρια PrPSC, αυτά τείνουν να σχηματίσουν ανά
τρία ή τέσσερα ένα «σπόρο». Γύρω από
τους «σπόρους» συσσωρεύονται και άλλα PrPSC μόρια και σχηματίζουν εναποθέσεις prion αμυλοειδούς (Εικόνα 4).

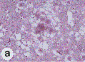
ΕΙΚΟΝΑ 4. Μικροσκοπική εικόνα φλοιού εγκεφάλου
πάσχοντος από παραλλαγμένη νόσο Creutzfeldt-Jacob (vCJD). (a) Χρώση PAS: Σχηματισμένες πλάκες που
περιβάλλονται από περιοχές σπογγώδους εκφύλισης. (b) Πολλαπλές πλάκες και
άμορφες εναποθέσεις που είναι ανοσολογικά θετικές για prion.
Οι
«σπόροι» μπορούν στη συνέχεια να διασπαστούν σε μικρότερους
«πυρήνες» οι οποίοι με τη σειρά τους να συγκεντρώσουν περισσότερα PrPSC και να σχηματίσουν νέες
εναποθέσεις αμυλοειδούς (Chitharanjan και Florian 2010).
Η
αντιγραφή των prion έχει επιτευχθεί in vitro κατά τρόπο παρόμοιο με την
ενίσχυση του DNA στην PCR. Ομογενοποιημένο υλικό
επίμυος που περιείχε μόλις ανιχνεύσιμο PrPSC αναμίχθηκε με περίσσεια PrPC.
Μετά από ορισμένους κύκλους επίδρασης υπερήχων στις συσσωρεύσεις PrPSC παρατηρήθηκε ο σχηματισμός σπόρων
που μετέτρεπαν περισσότερο PrPC σε PrPSC.
Δεν είναι όμως γνωστό αν κάτι παρόμοιο συμβαίνει και in vivo.
Summary
Physiology
and pathophysiology of prion protein. Urania Spyrakou
The human prion is a GPI
protein called PrPc.
Structurally the normal protein consists of three alpha helices with a
C-terminal domain. PrPsc
(the pathogenic form) is identical to PrPc at the amino acid
sequence, but its secondary and tertiary structure is different.
Convincing evidence now
indicates that variant CJD is a new disease. Epidemiological and biological data favour the
hypothesis that variant CJD is a
BSE zoonosis, probably arising from a
double-species switch from sheep
scrapie to BSE and then from BSE
to human variant CJD
Prions invade the CNS
through several possible routes.
After oral ingestion, prions accumulate in the Peyer patches of the
gut, in the intestinal ganglia, and in spleen. Then they are delivered to nerves or directly to central
nervous system tissues.
Two mechanisms have been
proposed to describe the conversion of PrPc to PrPsc. The refolding model, proposes that
introduced PrPsc serves as a template for the refolding of PrPc
to the aberrant form. In the
“seeding” model several PrPsc molecules manage to form a “seed” of
three or four ordered PrPsc molecules. They can recruit other PrPsc molecules and aggregate
to form prion amyloid deposits.
Βιβλιογραφία
Aguzzi a, Montrasio F,
Kaeser PS. Prions: Health scare and
biological challenge. Nat Rev 2001,2:118-126 (Abstract)
Arduengo
M. Prions: The unfolding story of a good protein gone bad. 2003. Promega
Corporation, Madison, WI (Leaflet).
Bartz
JC, Kincaid AE, Bessen RA Rapid prion
neuroinvasion following tongue infection. J Virol 2003, 77(1):583-89 (Abstract)
Beisel CE, Morens DM.
Variant Creutzfeldt-Jakob disease and the acquired and transmissible
spongiform encephalopathies.Clin Infect Dis. 2004;38(5):697-704. (Abstract)
Chitharanjan
VR, Florian PT. Variant Creutzfeldt-Jakob Disease and Bovine
Spongiform Encephalopathy. eMedicine Updated: Mar 12, 2010. Available
online at http://emedicine.medscape.com/article/1169688-overview
(Accessed: 12/6/2010).
Glatzel M, Heppner FL,
Albers KM, Aguzzi A. Sympathetic innervation of lymphoreticular organs is
rate limiting for prion neuroinvasion. Neuron 2001, 31(1):25-34 (Abstract)
Glatzel, M. and Aguzzi, A.
(2000) PrPc expression in the peripheral nervous system is a
determinant of prion neuroinvasion. J.
Gen Virol. 81: 2813–21. (Full text)
López
Garcia F, Zahn R, Riek R, Wüthrich K. NMR structure of the bovine prion
protein. Proc Natl Acad Sci USA. 2000, 97(15):8334-9 (Full text)
Martins
VR, Linden R, Prado MA et al. Cellular prion
protein: On the road for
functions. FEBS Lett. 2002,
512(1-3):25-8 (Abstract)
Nicotera
P. A route for prion neuroinvasion. Neuron 2001, 31(3):345-8.(Abstract)
Σπυράκου Ο. Σύντομη ιστορική ανασκόπηση νοσημάτων από prion. IDEA Medical
Newsletter 2010:1,1.
Available at http://www.idea-lab.gr/newslet20100101.htm
(Accessed: 12/6/2010)
Weissmann C, Enari M, Klöhn P-C, Flechsig E. Transmission of prions. Proc. Natl. Acad.
Sci USA. 2002, Available on line at http://www.pnas.org/cgi/doi/10.1073/pnas.172403799 (Accessed: 12/6/2010)
► Επιστροφή στην
πρώτη σελίδα του IDEA Medical Newsletter
|